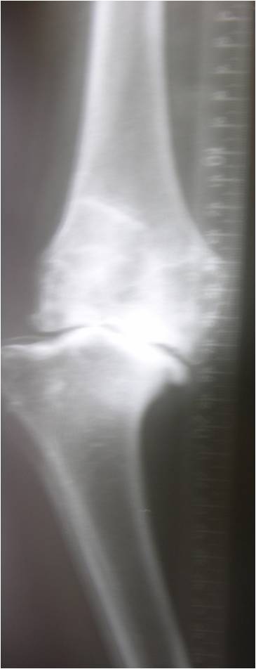
This is an Xray of a 53 year old lady with history of septic arthritis when 15 years of age send for opinion by a good friend of mine.
This is the closet to a ball and socket knee joint. The only similar case I did was a 83 year old lady from Delhi wherein we did a Link RHK( Pic below). The preop pics was with valgus correction for templatingThere was no endpoint in Varus valgus under anaesthesia and the femur appeared to drop off the tibia. In view of her age we did RHK. Its 3 years now and so far successful
Here the h/o septic arthritis which is hopefully quiscent now. In view of her one could try to use a femoral metephyseal sleeve TM may be and a Varus valgus contrained knee. AN RHK should be on table in case one tries a VV constained knee. The baja patella is the next problem if resurfaced put a smaller button superiorly. Any other comments are welcome




No comments:
Post a Comment